عملية جراحية نادرة تنقذ حياة امرأة حامل من ورم دماغي معقد
في إنجاز طبي بارز، نجح فريق طبي متخصص في مدينة الملك سلمان الطبية بالرياض في إجراء عملية استئصال ورم دماغي معقد لامرأة حامل، وذلك ضمن إطار تقديم الرعاية الصحية المتقدمة في المملكة العربية السعودية.
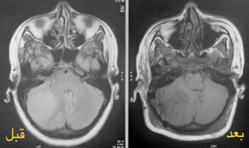
تفاصيل العملية الجراحية الدقيقة
تطلبت الحالة الطبية تدخلاً جراحياً عاجلاً بسبب تشخيص ورم دماغي خطير لدى المريضة، التي كانت في مرحلة متقدمة من الحمل. شكلت العملية تحدياً كبيراً للفريق الطبي، حيث كان من الضروري إزالة الورم بالكامل مع ضمان عدم تعريض حياة الجنين لأي مخاطر.
استخدم الأطباء تقنيات جراحية متطورة وأجهزة مراقبة دقيقة خلال العملية، التي استمرت لعدة ساعات. تم التخطيط للعملية بعناية فائقة، مع مشاركة أخصائيين في جراحة الأعصاب والتخدير وطب النساء والتوليد، لضمان تحقيق أفضل النتائج.
نتائج إيجابية تعكس التميز الطبي
أعلنت مدينة الملك سلمان الطبية أن العملية جرت بنجاح تام، حيث تم استئصال الورم الدماغي بالكامل دون أي مضاعفات. كما تم الحفاظ على سلامة الجنين طوال فترة التدخل الجراحي، مما يعكس الكفاءة العالية للفريق الطبي والبنية التحتية المتطورة للمستشفى.
يُعد هذا النجاح الطبي مثالاً على التقدم الكبير في مجال الرعاية الصحية بالمملكة، حيث تمكنت المؤسسات الطبية من التعامل مع الحالات المعقدة والنادرة بكفاءة واحترافية. كما يؤكد على أهمية التكامل بين التخصصات الطبية المختلفة في تقديم الحلول الشاملة للمرضى.
آفاق مستقبلية للرعاية الصحية المتخصصة
يشير هذا الإنجاز إلى قدرة النظام الصحي السعودي على مواجهة التحديات الطبية الصعبة، خاصة في ظل رؤية المملكة 2030 التي تهدف إلى تطوير القطاع الصحي ورفع جودة الخدمات المقدمة للمواطنين والمقيمين.
يُتوقع أن تساهم مثل هذه النجاحات في تعزيز ثقة المجتمع في المؤسسات الطبية المحلية، وتشجيع الاستثمار في التقنيات الحديثة والتدريب المتخصص للكوادر الصحية، مما سينعكس إيجاباً على تحسين مؤشرات الصحة العامة في المملكة.



